ハーフリンガル矯正

HALF LINGUAL ORTHODONTIC

ABOUT
ORTHODONTIC

ハーフリンガル矯正

当院ではハーフリンガル矯正を推奨しています。

ハーフリンガルは、上顎をリンガル矯正、下顎を普通の矯正で治療する方法です。通常のリンガル矯正よりリーズナブルで、近年人気の矯正歯科治療です。笑っても下の歯は見えにくく、発音や食事への影響が少ないので当院ではハーフリンガル矯正を推奨しています。

料 金

1,045,000

白いワイヤーは片顎55,000円(税込)プラスになります

※デンタルローン対応しております(最大84回)
※別途、精密検査・診断料金55,000円(税込)
※自由診療となります

治療期間

18ヶ月から42ヶ月

○仕上げの約半年を、症例によっては追加費用なしでマウスピース矯正
(主にインビザライン)に切り替え可能です

ワイヤー矯正で歯並びを整えたあと、仕上げの約半年間は、症例によっては追加費用なしで透明なマウスピース矯正に切り替えることが可能です。
細かい噛み合わせ調整を、より快適かつ目立たずに行うことができます。

メリット

  • ・装置が目立たない
  • ・発音・食事への影響が少ない
  • ・通常のリンガル矯正に比べリーズナブル

デメリット

  • ・笑った時に下の歯が見えやすい方は、装置が見えてしまう

ORTHODONTIC
CASE

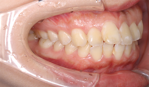
ハーフリンガル矯正の症例

前歯の突出感が顕著だったため、上下第一小臼歯を4本抜歯して矯正治療を開始した。装置が人から見えるのは主に上顎で、下顎は唇に隠れて目立たないことが多い。また発音のしやすさを考慮して、上顎は舌側に、下顎は頬側にブラケットを装着するハーフリンガルを選択した。レベリングが終了した後、上顎の口蓋側に2本の矯正用ミニスクリューを植立して上顎前歯部をリトラクションした。上下ともにボーイングエフェクトが起きないように注意した。スペースクローズ終了後、精細な咬合調整とわずかなコンポジットレジン修復により、緊密な咬合と適正な犬歯誘導が確立された。上下前歯部にはボンディングリテーナーを装着した。治療後は上下前歯部の突出感が解消され、Eラインに調和した横顔と自然なスマイルラインが獲得された。

料 金

990,000

※デンタルローン対応しております(最大84回)
※別途、精密検査・診断料金55,000円(税込)
※自由診療となります

症例治療期間

2

治療のリスク等

  • ・歯根(歯の根の長さ)が短くなることがあります
  • ・歯肉が退縮(下がる)ことがある
  • ・ブラックトライアルと言われる歯と歯の間の歯肉側の隙間が大きく見えて、物が詰まったりすることがあります
  • ・治療後に歯並びが少し後戻りして、ガタガタが出てきたり、歯と歯の隙間が空いてくることがあります
  • ※ただし、これらは矯正治療に共通のものです

叢生は重度であったが横顔は前歯の突出感がなかったので、非抜歯で治療することにした。
仕事がら装置が見えない方が良いという理由で上顎には舌側に装置を装着し、下顎は舌の快適さを考慮して唇側に装置を付けるハーフリンガルを採用した。エクストラレングスワイヤーテクニックで効率的なレベリングを行い、比較的短期間で治療を終了することができた。矯正治療後にはホワイトニングを行った後、初診時に削れてしまっていた左の前歯をコンポジットレジンで審美的に修復した。緊密な咬合とスムーズな下顎の咀嚼運動が行える歯列が獲得された。非抜歯で治療を行ったが、治療後の横顔は自然である。

料 金

990,000

※デンタルローン対応しております(最大84回)
※別途、精密検査・診断料金55,000円(税込)
※自由診療となります

症例治療期間

19

治療のリスク等

  • ・歯根(歯の根の長さ)が短くなることがあります
  • ・歯肉が退縮(下がる)ことがある
  • ・ブラックトライアルと言われる歯と歯の間の歯肉側の隙間が大きく見えて、物が詰まったりすることがあります
  • ・治療後に歯並びが少し後戻りして、ガタガタが出てきたり、歯と歯の隙間が空いてくることがあります
  • ※ただし、これらは矯正治療に共通のものです

ORTHODONTIC TREATMENT CONTENTS

ハーフリンガル矯正

ハーフリンガル矯正とは

普通の矯正

普通に装着する矯正治療

リンガル矯正

裏面に装着する矯正治療

インビザライン

透明で目立たない
マウスピース矯正治療