
歯並び、笑顔、横顔などすべてが美しくなるように配慮して治療をおこないます。
当院では標準で金属ではない透明のブラケットを採用しています。オプションで目立ちにくい白いワイヤーもお選びいただけます。
※デンタルローン対応しております(最大84回)
※別途、精密検査・診断料金55,000円(税込)
ゴムメタルとはトヨタが開発した新チタン合金です。金属ですが、ゴムのように柔らかく、高強度で折れにくい金属です。また、生体安全性も証明されており、人に優しい合金です。従来のステンレススティールのワイヤーは強固で曲がりにくいため、はじめは細いワイヤーで治療を行い、徐々に太いものに交換していくので治療期間が長いですが、ゴムメタルはその素材のしなやかさから、最初から太いワイヤーを使用できるため比較的短期間で治療を終わらせることが可能です。
ワイヤー矯正で歯並びを整えたあと、仕上げの約半年間は、症例によっては追加費用なしで透明なマウスピース矯正に切り替えることが可能です。
細かい噛み合わせ調整を、より快適かつ目立たずに行うことができます。
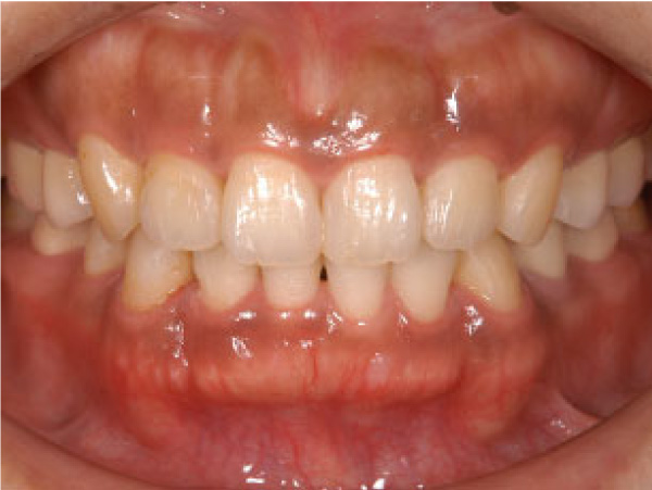
部分的に短期間で治す安価なプチ矯正治療です(部分矯正)。前歯の気になる箇所を部分的に治します。すきっ歯やデコボコした歯に適しています。安価かつ短期間で治療可能です。症例によっては安価な裏側矯正やマウスピース矯正でも治療可能です。
※デンタルローン対応しております(最大84回)
MSE(Maxillary Skelertal Expander)はアンカースクリューという矯正用インプラントを用いた、固定式の拡大装置です。上顎骨を拡大し骨格にアプローチすることで、可能な限り抜歯せず歯並びを改善することができます。 上顎が広がると鼻腔も広がるため、いびきや口呼吸の改善にも繋がります。
※デンタルローン対応しております(最大84回)
※別途、精密検査・診断料金55,000円(税込)
SMAP(Super Mini Anchor Plate)とは通常の矯正用インプラント(ミニスクリュー)とは違ってチタンのプレートを2本〜3本のインプラントで固定するシステムです。ミニスクリューよりもはるかに強い固定源になるため、抜歯をせずに矯正をできる可能性が広がります。
シューライダーとは口蓋という上顎の裏側に矯正用のインプラントを2本入れて、そのインプラントを使って歯を後ろに動かす装置です。デジタル技術を使用し、精密で応用範囲の広い治療方法です。SMAPと同じく、抜歯をせずに矯正をできる可能性が広がります。
サージェリー・ファースト(Surgery First)法は先に外科手術を行ってから噛み合わせの歯列矯正を行う、顎変形症に対する新しい治療方法です。術前矯正を省略して治療期間を短縮するなど、従来の外科矯正よりも治療期間を大幅に短縮することが可能となります。治療中の患者さんのQOL低下を最小限にできる治療法です。